欢迎来到印度第一药房!要购物!先登录 登录 免费注册
印度第一药房LOGO
TAG热门标签: 
厄洛替尼
胃癌晚期
吉三代
前列腺癌
印度版
易瑞沙
丙肝
印度药房客服
主页 > 疾病百科 > 综合其他 > >4款治疗皮肤基底细胞癌的靶向药/免疫疗法
热门阅读

4款治疗皮肤基底细胞癌的靶向药/免疫疗法

来源:网络收集 收录时间:2021-12-18热度:
【资讯导读】 基底细胞癌(Basal cell carcinoma,BCC)是一种起源于表皮基底层及其附属器的常见皮肤癌,大多数基底细胞癌在基因中具有突变,这些基因是称为刺猬(Hedgehog)蛋白的细胞信号传导途
  基底细胞癌(Basal cell carcinoma,BCC)是一种起源于表皮基底层及其附属器的常见皮肤癌,大多数基底细胞癌在基因中具有突变,这些基因是称为刺猬(Hedgehog)蛋白的细胞信号传导途径的一部分。
 
  病因不明,发病与长期日晒密切相关,此外,大剂量X线照射、烧伤瘢痕等与本病的发生、发展亦可能有关。
 
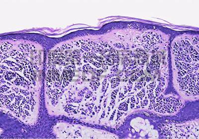
基底细胞癌
 
  治疗药物
 
  1、Zyclara(Imiquimod)咪喹莫特
 
  Imiquimod(咪喹莫特)是小分子免疫调节剂,作为局部免疫疗法应用于皮肤病变的病灶处。
 
  2、Erivedge(Vismodegib)维莫德吉
 
  维莫德吉(vismodegib)适用于局部晚期或转移性基底细胞癌(BCC)。
 
  3、Sonidegib(Odomzo)索尼德吉、索立德吉
 
  索立德吉(Sonidegib)也译为索尼德吉,适用于治疗患有局部晚期基底细胞癌的成人患者。
 
  4、Libtayo(Cemiplimab)
 
  Cemiplimab是一种PD-1抑制剂,用于治疗转移性皮肤鳞状细胞癌(CSCC)或不能接受治愈性手术或放疗的局部晚期CSCC患者。
本站部分文章/图片收集于网络!如涉及版权请联系我们核实删除
责任编辑:运营部

相关阅读

微信扫码