治疗肺囊性纤维化(CPF)有哪些药物?
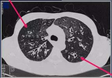
囊性纤维化(Cystic Fibrosis,CF)是一种具有家族常染色体隐性遗传性的先天性疾病,主要影响肺(CPF),肺囊性纤维化(Pulmonary Cystic Fibrosis,CPF)是造成80%的囊性纤维化患者死亡的原因。囊性纤维化也影响胰腺,肝,肾和肠。作为一种外分泌腺的病变,胃肠道和呼吸道常累及,由于支气管中的黏液增多,可使支气管阻塞,使某些细菌(如金黄色葡萄球菌、铜绿假单胞菌等)易于生长繁殖,进一步引起肺、支气管的反复感染,继之引起肺囊性纤维化(特征性纤维化和形成囊肿)。
- 1938 年,Dorothy Anderse首次将CF识别为特定疾病,并进行了描述。
- 2018年5月11日,中国国家卫生健康委员会等5部门联合制定了《第一批罕见病目录》,肺囊性纤维化被收录。
尽管尚无治愈囊性纤维化的方法,但在过去的70年中,CF治疗方法有了显着进步,患有囊性纤维化的个体可以过上更充实的生活,而不受疾病困扰。治疗的基石是积极治疗气道感染,并鼓励良好的营养和积极的生活方式。肺康复作为CF的一种管理方式,贯穿了患者的一生,旨在最大程度地发挥器官功能,从而最大化生活质量。目前的治疗方法充其量只能延迟器官功能的下降。由于疾病症状的广泛差异,治疗通常在专业的多学科中心进行,并针对个人量身定制。
机械设备(气道清理技术)和吸入药物用于改变和清除粘稠的粘液,气道清理技术有一些短期益处,但长期作用尚不清楚。在家里氧疗是用于显著低氧水平。如果肺功能恶化,可以选择肺移植。
治疗药物
CF疗法首先关注由浓稠的粘液和感染引起的肺部损伤,静脉,吸入和口服抗生素可用于治疗慢性和急性感染。使用抗生素辅助治疗,对抗耐药菌的策略需要更多的探索。
1、阿奇霉素(Azithromycin)
CPF肺部感染可以通过抗生素治疗,可以静脉内,吸入或口服。许多患有CF的人即使在健康的情况下也始终在使用一种或多种抗生素,有时,长期使用抗生素阿奇霉素。
阿奇霉素(Azithromycin)为半合成的十五元大环内酯类抗生素。适用于敏感细菌所引起的下列感染:支气管炎、肺炎等下呼吸道感染;皮肤和软组织感染;急性中耳炎;鼻窦炎、咽炎、扁桃体炎等上呼吸道感染(青霉素是治疗化脓性链球菌咽炎的常用药)。
2、妥布霉素(Tobramycin)
别名安欣、托普霉素,主要适用于治疗革兰阴性杆菌所致的新生儿脓毒血症、败血症、中枢神经系统感染(包括脑膜炎)、泌尿生殖系统感染、肺部感染等疾病。
- 1965年,妥布霉素获得专利。
- 1974年,妥布霉素被批准用于医疗。
3、多粘菌素 E(Polymyxin E)
又名硫酸粘菌素(Colistin Sulphate)、克利斯汀(Colistin)、抗敌素等,对大多数革兰氏阴性杆菌有效,由于其肾脏毒性而使用较少,但仍然是治疗耐多药绿脓杆菌,肺炎克雷伯菌和大肠杆菌的最后一种抗生素。
4、氨曲南(Aztreonam)
又名氨噻酸单胺菌素/噻肟单酰胺菌素/菌克单,是β-内酰胺抗生素。是一种主要用于治疗由革兰氏阴性细菌引起的感染的抗生素。口服给予的氨曲南吸收不良,因此必须以静脉内或肌肉内注射(商品名Azactam)或使用超声波雾化器吸入(商品名Cayston)的方式给药。
- 1986年。氨曲南在美国被批准用于医疗用途。
- 2010年2月22日,美国食品药品监督管理局(FDA)批准雾化器吸入剂型,用于抑制囊性纤维化患者的绿脓杆菌感染。
- 2019年,氨曲南从世界卫生组织的基本药物目录中删除。
5、左氧氟沙星(Levofloxacin)
左氧氟沙星是喹诺酮类药物中的一种,具有广谱抗菌作用,抗菌作用强,对多数肠杆菌科细菌,如大肠埃希菌、克雷伯菌属、变形杆菌属、沙门菌属、志贺菌属和流感嗜血杆菌、嗜肺军团菌、淋病奈瑟菌等革兰阴性菌有较强的抗菌活性。对金黄色葡萄球菌、肺炎链球菌、化脓性链球菌等革兰阳性菌和肺炎支原体、肺炎衣原体也有抗菌作用,但对厌氧菌和肠球菌的作用较差。
吸入的左氧氟沙星可用于治疗被感染的囊性纤维化患者中的绿脓杆菌。早期预防绿脓杆菌感染更加容易,使用带或不带口服抗生素的雾化抗生素可将其根除长达2年。
6、环丙沙星(Ciprofloxacin)
环丙沙星合成的第三代喹诺酮类抗菌药物,具广谱抗菌活性,杀菌效果好,几乎对所有细菌的抗菌活性均较诺氟沙星及依诺沙星强2~4倍,对肠杆菌、绿脓杆菌、流感嗜血杆菌、淋球菌、链球菌、军团菌、金黄色葡萄球菌具有抗菌作用。
口服环丙沙星等抗生素可帮助预防感染或控制正在进行的感染。
7、妥布霉素(Tobramycin)
妥布霉素(Tobramycin),别名安欣、托普霉素,主要适用于治疗革兰阴性杆菌所致的新生儿脓毒血症、败血症、中枢神经系统感染(包括脑膜炎)、泌尿生殖系统感染、肺部感染等疾病。
使用妥布霉素这类氨基糖苷类抗生素可导致听力丧失,损伤到平衡系统在内耳与长期使用或肾衰竭。为防止这些副作用,应常规测量和调整血液中抗生素的含量。
鼻窦感染
除肺部感染外,鼻窦感染一样通过长期使用抗生素来治疗。鼻息肉的发展或鼻腔通道内的其他慢性变化可能会严重限制流经鼻子的气流,并随着时间的流逝会降低人的嗅觉。鼻窦手术通常用于减轻鼻塞并限制进一步的感染。
8、沙丁胺醇(salbutamol)
一种短效β2肾上腺素能受体激动剂,用作平喘药,能有效地抑制组胺等致过敏性物质的释放,防止支气管痉挛。
11、维生素K(Vitamin K)
K从Koagulation,德语为“凝结”。人体需要维生素K 完成某些蛋白质合成,维生素K相关的蛋白质可以钙离子用于控制血液凝固。没有维生素K,血液的凝结会严重受损,并且会发生失控的出血。初步的临床研究表明,维生素K的缺乏可能会削弱骨骼,可能导致骨质疏松,并可能促进动脉和其他软组织的钙化。
囊性纤维化可表现为凝血障碍,脂溶性维生素的补充很重要,尤其是在年轻患者中。包括维生素A、C、D、E、K。
12、 阿尔法脱氧核糖核酸酶 (Dornase alfa) Pulmozyme
CPF患者吸入气雾化药物,比如高渗盐水和阿尔法脱氧核糖核酸酶吸入用肺细胞溶液,有助于减少分泌物。
Dornaseα alfa(阿尔法脱氧核糖核酸酶),商品名Pulmozyme,由美国基因泰克(Genentech)公司开发,是一种重组人脱氧核糖核酸酶,可分解痰中的DNA,从而降低其黏度。Dornaseα可以改善肺功能,并可能降低病情加重的风险,但是没有足够的证据知道它是否比其他类似药物更有效。
13、依伐卡托(Ivacaftor)Kalydeco
依伐卡托,商品名Kalydeco,是一种用于治疗携带囊性纤维化跨膜电导调节因子(CFTR)10种突变之一(G551D,G1244E,G1349D,G178R,G551S,S1251N,S1255P,S549N,S549R,R117H)的囊性纤维化(CF)患者。囊性纤维化跨膜电导调节因子(CFTR)基因(主要是G551D突变),占囊性纤维化患者4-5%的病例。
Ivacaftor由Vertex Pharmaceuticals与Cystic Fibrosis Foundation共同开发,是第1种治疗根本原因而非疾病症状的药物。
- 2012年1月,Kalydeco被FDA批准,是当时最昂贵的药物之一,治疗费用超过US $ 30万美元一年。
14、复方鲁玛卡托/依伐卡托(Lumacaftor/ivacaftor)Orkambi
复方鲁玛卡托/依伐卡托,品牌名Orkambi,用于治疗携带 F508del 突变的囊性纤维化(CF)患者。也由Vertex Pharmaceuticals开发。
- 2015年,Orkambi在美国被批准用于医疗用途。在美国截至2018年,每月的治疗费用超过22,000美元。
15、(Tezacaftor/ivacaftor) Symdeko
Symdeko由Tezacaftor(VX-661)和ivacaftor两种成分组成,用于治疗12岁及以上的囊性纤维化(cystic fibrosis,CF)患者,这些患者的囊性纤维化跨膜传导调节因子(cystic fibrosis transmembrane conductance regulator,CFTR)基因携带两个F508del突变拷贝或者至少携带一个对tezacaftor/ivacaftor药物有反应的突变。
- 2018年02月,Symdeko被美国FDA批准,是Vertex获得FDA批准的第3种针对囊性纤维化根本病因的治疗药物,定价每年292,000美元。
16、(Elexacaftor/tezacaftor/ivacaftor)Trikafta
2019年10月21日,美国食品和药物管理局(FDA)批准Vertex制药公司的Trikafta,用于治疗囊性纤维化(CF)跨膜传导调节因子(CFTR)基因中存在至少一个F508del突变、年龄≥12岁的CF患者。
这是Vertex获得FDA批准的第4种针对囊性纤维化根本病因的治疗药物,在美国,Trikafta 预计定价为31.1万美元。
糖尿病是囊性纤维化(CF)最常见的非肺部并发症。兼具1型和2型糖尿病的特征,被认为是与囊性纤维化相关的糖尿病的独特个体。虽然可以口服降糖药,但推荐的治疗方法是使用注射胰岛素或胰岛素泵,并且不像在1型和2型糖尿病,不推荐的饮食限制。




